UC Logo
Laboratory of Developmental and Regenerative Biology
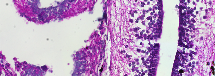
Stages of Xenopus laevis metamorphosis An H&E staining of a spinal cord at 2 and 30 days post-transection Acetylated tubulin staining at 2 (left) and 30 (right) days post transection Spinal cord transection activates Sox2 (red) cells to proliferate (green, BrdU incorporation) A spinal cord from a regenerative stage Xenopus tadpole stained for Sox2 (red) and electroporated with a Sox3::GFP reporter Transgenic Xenopus laevis tadpole Spinal cord electroporated with antisense oligonucleotides View video
This is an example of a HTML caption with a link.
Footer Logos